

当院で矯正治療をされ、きれいな歯並びと最適な咬み合せを獲得された患者様の一例を紹介しています。
矯正治療をお考えの方は参考としてご覧ください。
当院の患者様、平塚市近郊の方に向けて、院内矯正相談サービスを無料でおこなっておりますので、ぜひご活用ください。




| 主訴 | 交叉咬合・上顎前突 |
|---|---|
| 本格矯正開始 | 2010年10月5日(中学2年生・14歳4ヶ月) |
| 矯正装置装着 | 矯正期間 2年1ヶ月 歯を動かし顎の形態を整える期間 |
| 本格矯正終了 | 2012年11月9日(高校1年生・16歳5ヶ月) |
| 保定装置装着 | 保定期間 3年 整えた歯並びを安定させる期間 頑張り中 |
| 矯正治療終了 | 終了予定: 2015年11月9日 |


中学2年生の男の子で、当院の非抜歯矯正を希望されて来院されました。
当院の前に他の矯正歯科に行ったとのことですが「第一小臼歯を4本抜く」と言われたそうです。
矯正治療例2に続き、この子も歯列弓の狭いV字歯列です。歯並びの凸凹と上下の咬み合わせが部分的に反対になる交叉咬合です。
永久歯に全て生え変わっているため、非抜歯矯正だと治療期間が少し長くなるかもしれないとお伝えしましたが、“健康な歯は抜きたくない”とのことで、非抜歯による矯正を開始しました。
※V字型の歯列弓は、軟食の多い現代の傾向で“噛む刺激の減少”が関係していると言われています。

向かって右下の飛び出ていた犬歯は、この段階ですでに改善できています。
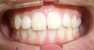
治療前の歯並びと比べて、かなりきれいになっており、歯を間引きしない非抜歯矯正で、ここまできれいにできることがわかります。

患者様のご希望通り歯を抜くことなくきれいな歯並びにすることができました。
本格矯正の治療期間は2年1ヶ月、
全ての歯が永久歯に生え変わっていたため、矯正期間が若干長くなりました。
非抜歯矯正は年齢が高いと治療期間が長くなる傾向にあります。
それでも、健康な歯を抜かずに矯正できるメリットはかなり大きいと思います。
O君は現在高校2年生、矯正治療の開始が少し遅かったので少し時間がかかっていますが、歯並びは順調に保てています。
矯正治療は歯並びと咬み合わせを良好に整える治療です。
口腔機能がより健全に働くことから、集中力や瞬間的な判断力・運動能力に良いとされています。
勉強と部活の両面で良い影響が期待できるので頑張って行きましょう!
保定期間はきれいになった歯並びを体に覚えこませる大切な期間です。
この大切な期間の経過観察は最初は1ヶ月に1回、その後、状態を見ながら3ヶ月あるいは6ヶ月間隔で診ていきます。
期間は通常2~3年、患者様の状態によって変わります。
保定装置は取り外し式で半透明なので目立ちませんし、食事の時は外すことができます。また保定装置の保守費用は矯正基本料に含まれており、万が一破損した時も無償での修理が可能です。
保定期間中の定期検診では、健康な歯を維持するために虫歯予防処置もおこないます。
ご希望の方には歯を白くきれいにするホワイトニングなども費用はかかりますがおこなっています。

2016/03/29 18:30 2016年3月24日 タウンニュース 平塚版/秦野(木)版 掲載!
小学校や中学校、高校、大学への入学、就職など、4月から新生活を迎える方の多いこの時期は「歯並び」を見直そうと考える方も増えます。当院は子どもの“チャイルド矯正”、大人の“非抜歯矯正”に力を入れている歯科医院。このようなことから「新生活にむけて、早期の矯正を」と題してタウンニュースの取材を受けました。歯並びをキレイにしたい、笑顔にもっと自信を持ちたいとお考えの方はぜひ参考になさってください。
2013/04/08 13:48 歯並び・歯列矯正治療案内サイトをオープン
2013年4月8日矯正案内専門サイトOPEN当院の患者様および平塚市周辺の患者様に向けて、矯正案内専門サイトをオープンしました。虫歯?歯周病?入れ歯?矯正?歯科治療はさまざまですが、どの治療でも“可能なかぎり歯は抜くものではない”と、当院は考えております。この考え方は、矯正歯科治療においても同様です。そのため、当院の矯正治療では【歯を抜かない非抜歯矯正】の可能性を最優先に考えます。つまり、当院の診 …
■ 当院の施設基準について
当院は厚生労働省によって定められた施設基準を満たしております。
当院の施設基準についての詳細はこちらからご覧ください »
■ 患者様向けの詳しい矯正案内を院内にて配布しております。
■ 初めて来院される方はアクセスマップを印刷してご利用ください。
